地址:成都市高新区桂溪西街60号1栋1-5层3号

    电话热线:028-88908999

范捷(副主任医师)
  • 毕业于第四军医大学口腔医学院
  • 四川省口腔正畸专业委员会常务委员
  • 中华医学会口腔黏膜专委会委员
  • 获得科技成果三等奖
  • 具有二十七年口腔临床工作经验
范捷 简介
中华医学会口腔黏膜专委会委员,四川省口腔正畸专业委员会常务委员。1989年毕业于第四军医大学口腔医学院,具有二十七年口腔临床工作经验。擅长在病人的诊治中制定出合理全面且经济实用的治疗计划,利用专业技术和丰富的临床经验开展治疗,并开展了该技术与黄种人正畸特点相结合的研究,被列为部队战伤二期治疗科研课题并获得科技成果三等奖。
网络预约电话咨询

医生临床修复成功案例(好评如潮)

张庆 23岁

牙齿问题:牙齿外凸

治疗方案:隐形矫正

主治医师:范捷

关于矫治器的佩戴配合得很好,效果也就自然而然就出来了。
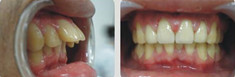
种牙反馈:
     在圣贝矫正后,感觉效果很好,现在牙齿已经变得整齐了。

经验成就技术 品牌保障效果(日积月累)

他眼中的圣贝
  在我看来,要想让患者信赖,不仅要靠扎实的医术,还要靠温馨的服务、实惠的价格。特别是正畸这一块,更需要矫正过程中的一系列保障,圣贝就做到了,五星级的服务、透明化的费用、终生的保障。
同行眼中的他
  范捷医生态度是出了名的好,有耐心,能够倾听患者的要求和意见。工作经验丰富,总是从患者角度考虑,尽最大可能减少患者的矫正时间,减少患者痛苦。
助理眼中的他
  在治疗过程中,对患者很好,能从患者的角度考虑问题,任欢医生是我见过的对患者最真心的一位医生,有医德。
患者眼中的范捷
  在别的平台看到范捷医生,所以选择到圣贝看诊。最开始进医院的时候,觉得这个医院装修好奢华,不像别的口腔诊所,搞的跟小作坊似的。而范捷医生果然名不虚传,根据我的脸型和五官进行矫正方案设计,效果很不错。

Copyright ©成都圣贝牙科医院版权所有

地址:成都市高新区桂溪西街60号1栋1-5层3号

医广号:川(成高)医广【2021】第03-18-23号

备案号:蜀ICP备15000530号-1

川公网安备 51019002001896号