地址:成都市高新区桂溪西街60号1栋1-5层3号

    电话热线:028-88908999

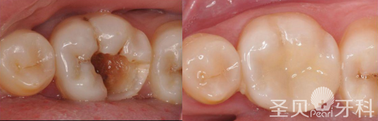
牙齿烂了怎么办
时间:2017-07-28 16:38 来源:未知 点击:
  牙齿烂了怎么办?一般来说,牙齿烂了是龋齿的表现,它是以牙体被腐蚀,逐渐毁坏而成龋洞的牙病,可分为浅龋、中龋、深龋。
  圣贝指出:未经治疗的龋洞是不会自行愈合的,其发展的最终结果是牙齿丧失,所以牙齿烂了一定要及时到医院检查,由判定龋坏程度,采取相应的治疗方法。>>>一对一挂号治疗方案
  ——不同程度龋齿的治疗方法
  1.浅龋:龋坏仅局限于牙齿表面,此时患者常无自觉症状,一般在牙医检查时可看到牙齿窝沟或牙面有白色粉笔样斑,或是色素沉着形成墨浸状斑,治疗浅龋充填的效果最好。
  2.中龋或深龋:龋蚀侵及牙本质深层,有明显龋洞,对冷热酸甜刺激敏感。在去净龋坏组织以后,有时洞底已接近牙髓,就需要在洞底加一层护髓剂再填初。有时深龋在去净龋坏组织以后牙髓就暴露了,就需要先采取牙髓治疗,然后才能填充。
  3.另外,对于龋坏严重,已没有保留价值的牙齿多半采用拔牙治疗,然后根据患者自身情况通过修复(如种牙、烤瓷牙、全瓷牙等)恢复美观度和功能。>>>牙齿烂完了怎么办?
  圣贝牙医表示:牙齿烂了务必及时就医。在口腔科,牙洞治疗的越早,花费越少,就诊次数越少,痛苦也越少。
  【舒适治疗新体验 让看牙成为一种享受】
  事实上,关于看牙,多数人因为疼痛、恐惧,拒绝去医院而耽误病情。在圣贝口腔,你完全不用担心这个问题,圣贝应用笑气舒适治疗,避免了传统针式麻醉的恐惧感,镇痛作用强而麻醉作用弱,改变术后头晕等不良反应,消除患者对治牙的恐惧。>>>看牙真的不痛吗?笑气安全吗?
  同时,圣贝引进高精技术和设备,结合3M纳米树脂材料补牙,它相对传统复合树脂类材料,具有性能更高、色泽更好、更耐磨且不易脱落等多重优势,满足患者高要求、多样的个性需求。
  另外,圣贝口腔坚持透明收费,严格按照标准,所有治疗项目及收费都会在治疗前告知患者,经同意后才会就诊,一次定价没有额外收费,让患者明明白白交钱,安安心心看病。
  温馨提示:有任何疑问,你可点击进入挂号中心得到想要的蜕变答案,圣贝会根据您的实际情况为您推荐合适的治疗方案并为您申请手术优惠。

热线:028-86060808
地址:成都市高新区桂溪西街60号1栋1-5层3号

订阅号:cd-sbyk
服务号:cdsbyk
扫一扫 第一时间了解圣贝最新活动信息
圣贝品牌

成都圣贝牙科医院为圣贝医疗投资集团打造的旗舰医院,位于成都新兴的政治经济中心——城南核心地带的科华南路北,占地6000平米……【详细】

Copyright ©成都圣贝牙科医院版权所有

地址:成都市高新区桂溪西街60号1栋1-5层3号

医广号:川(成高)医广【2021】第03-18-23号

备案号:蜀ICP备15000530号-1

川公网安备 51019002001896号