地址:成都市高新区桂溪西街60号1栋1-5层3号

    电话热线:028-88908999

成都做瓷贴面哪家医院好
时间:2018-05-06 14:59 来源:成都圣贝牙科医院 点击:
  瓷贴面是什么?瓷贴面是一种覆盖部分牙面的瓷修复体,即采用粘结技术,在保存牙髓、少磨牙甚至不磨牙的情况下,对牙体表面缺损、着色牙、变色牙和畸形牙等用瓷修复材料粘结覆盖其表面,以恢复牙体的正常形态和改善其色泽。目前,瓷贴面已被临床上广泛使用,成为牙齿的热门之选。
  那么,做瓷贴面哪家医院好?提醒;做瓷贴面务必要选择一家专业的医院,不但可以让瓷贴面达到更好的修复效果,还能规避一些治疗过程中的风险,降低牙齿遇到损害的可能性。
成都做瓷贴面哪家医院好
>>>明星也在用的方法瓷贴面,点击这里挂号详情<<<
  【做瓷贴面哪家医院好】蓉城市民一致选择——圣贝牙科医院。
  也许您会有所疑问,成都市内大大小小的牙科医院数不胜数,圣贝牙科医院有什么优势能够得到广大市民的青睐,接下来我们就来详细了解一下圣贝牙科医院。
  规模——推荐指数:★★★★★
  圣贝牙科医院是一家牙科连锁医疗机构。2011年,圣贝牙科医院正式进入中国市场,至今已在,为患者提供一家看牙、全国联保的服务体系,致力于为广大患者朋友提供的口腔技术。
成都做瓷贴面哪家医院好2
  技术——推荐指数:★★★★★
  圣贝牙科医院不断采用的技术。比如:圣贝种植系统、圣贝 美齿系统、正畸系统、圣贝 微痛微创系统、极束星断层牙CT、ZEISS数字显微修复系统等均通过,引领牙科技术浪潮。>>>根据您的牙齿情况,与相关交流
  其中,在瓷贴面修复上,圣贝采用圣贝 微贴面。
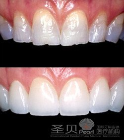
  圣贝 微贴面是超薄的并且直接粘结在前牙表面的一层修复体,它的厚度大约只有0.2mm,让患者无需磨牙就可进行。同时,结合圣贝专用的粘接剂,粘接剂的质地接近釉牙本质界,低风险,生物相容性有效,渗透性好,能将贴面和真牙好粘结,与邻牙自然协调,单凭肉眼无法分辨真假。
成都做瓷贴面哪家医院好2
>>>圣贝微贴面修复前后,你也想拥有这样的好牙齿吗?<<<
  ——推荐指数:★★★★★
  圣贝牙科医院吸纳了国内川大、华西、四医大等名校毕业的教授,组成了一支默契的医疗团队。圣贝团队之间长期进行合作交流,他们结合先进的技术设备,为患者带来了更好的治疗方案;同时,也带动中国大陆牙科技术,促进了国内口腔学科技术与接轨。
成都做瓷贴面哪家医院好4
  服务--推荐指数:★★★★★
  圣贝牙科医院坚持以顾客为核心的理念,不仅提供温馨舒适的治疗环境、还追求服务流程标准化。
  一进圣贝牙科医院,健康挂号、挂号、书写病历、一对一交流、口腔检查、制定方案、牙齿治疗等由圣贝导医为您有序导航。对于陪伴您看牙的亲友,圣贝免费提供咖啡、茶、水果、糕点等各式饮食,还设立了专用阅读室、墙让您更加深入的了解圣贝牙科医院。
  温馨提示:以上就是圣贝牙科医院给您的介绍,由于这里条件有限,文章并不能解决您的所有疑问,所有您不妨花几分钟点击进入挂号中心,直接与我院口腔对话;同时您也可点击在线预约,通过网络预约,免挂号费、检查费,免排队,优先会诊,为您节省宝贵时间!

热线:028-86060808
地址:成都市高新区桂溪西街60号

服务号
订阅号
扫一扫 第一时间了解圣贝最新活动信息
圣贝品牌

成都圣贝牙科医院为圣贝医疗投资集团打造的旗舰医院,位于成都新兴的政治经济中心——城南核心地带的科华南路北,占地6000平米……【详细】

Copyright ©成都圣贝牙科医院版权所有

地址:成都市高新区桂溪西街60号1栋1-5层3号

医广号:川(成高)医广【2021】第03-18-23号

备案号:蜀ICP备15000530号-1

川公网安备 51019002001896号