地址:成都市高新区桂溪西街60号1栋1-5层3号

    电话热线:028-88908999

美容冠矫正牙齿的费用
时间:2018-05-06 14:54 来源:成都圣贝牙科医院 点击:
  冠是牙齿的一种新型技术,具有不拔牙、不伤牙等优点,受到广大爱美者追捧。对于冠矫正牙齿的费用,很多人不了解!对此,圣贝牙科医院介绍到:冠矫正牙齿的费用因人而异,没有固定的数字。
  【影响冠矫正费用的因素】
  1.牙齿条件:不同患者的牙齿畸形程度不同,矫正牙齿的数量及所用材料导致价格差。
>>>根据你的牙齿情况挂号价格
  2.材料品质:冠材料有进口和国产之分,在性能和效果上有较大区别,价格也就不同。
  3.制作设备:普通设备几万元、进口的则需上百万,这也是导致费用不同的原因。
  4.选择医院:不同医院的软硬件、技术、质量、信誉、服务方面都不同,价格也会不一样。
>>>查看冠矫正牙齿的过程
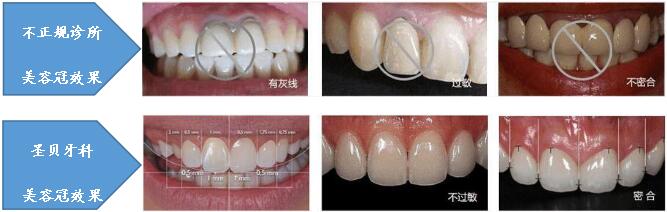
  【衡量冠费用 更应看重效果】
  圣贝牙科医院引进的仿生冠技术,结合微创微痛技术,通过对错位牙、畸形牙的牙冠部分施以专业手段进行修复。整个过程采用先进技术及精密设备,矫正更细致定位,牙齿更美观,具有良好的生物相容性,微痛、时间短、牙齿坚固、牙龈不会出现黑线等优点。
  【圣贝冠优势】
  1.个性化:根据每位患者的自身条件和需求量身定制牙齿诊疗计划,让修复后的牙齿与整个脸型自然协调,和谐统一。
  2.设备化:采用计算机断层扫描及时全面精准诊断口腔情况,使效果得到保障。
  3.技术化:开展多款流行的牙齿技术,以恢复牙齿的健康美丽为前提,将灭菌消毒提升至16层,全程安全无菌,舒适微痛。
  4.快捷化:打破拔牙、磨牙、取模、刻腊、烧瓷等传统程序,运用计算机辅助设计和制作,完成备牙、光学取模、设计、研磨、试戴、安装等全部程序,整个过程45分钟。>>>即刻预约做圣贝冠,到院免排队、免挂号费<<<

热线:028-86060808
地址:成都市高新区桂溪西街60号

服务号
订阅号
扫一扫 第一时间了解圣贝最新活动信息
圣贝品牌

成都圣贝牙科医院为圣贝医疗投资集团打造的旗舰医院,位于成都新兴的政治经济中心——城南核心地带的科华南路北,占地6000平米……【详细】

Copyright ©成都圣贝牙科医院版权所有

地址:成都市高新区桂溪西街60号1栋1-5层3号

医广号:川(成高)医广【2021】第03-18-23号

备案号:蜀ICP备15000530号-1

川公网安备 51019002001896号