地址:成都市高新区桂溪西街60号1栋1-5层3号

    电话热线:028-88908999

牙齿美白的价格贵不贵
时间:2016-05-14 13:30 来源:成都圣贝牙科医院 点击:
  俗话说:“貌为先,齿白七分俏”,由此可见,牙齿洁白对整体形象的影响有多大。生活中,有不少人因为牙齿着色不敢开口大笑,不敢与人亲近,而改变这种情况的好办法就是牙齿美白,但是关于牙齿美白价格的问题很多人都比较疑惑。那么,牙齿美白的价格贵不贵呢?
  对此,圣贝牙科医院表示:牙齿美白有很多种方法,例如冷光美白、牙贴面、洁牙等方式,不同美白方法有不同的效果和价格。一般而言,影响牙齿美白价格的因素有以下几点:
牙齿美白的价格贵不贵
想要洁白牙齿?点击这里
  一、患者自身牙齿情况:有的人天生牙黄,怎么刷也刷不白,这是因为他们的牙釉质里沉淀了较多的黑色素或黄色素,这样的牙齿不容易美白,需要可以从牙齿本质上改变的美白方法,所以价格也会相对于贵一些;而有的人是后天因素引起的牙齿着色,这种情况就得看着色程度深不深,比较浅的牙齿着色只是一些污渍沉积在牙齿表面,可以通过洁牙清除,而牙齿着色严重的患者就需要其他的牙齿美白方法才能改变。>>>与在线交流病情,挂号牙齿美白价格
  二、患者选择的医院:每个地区的经济水平不一样,不同医院的收费标准也有所不同,有的医院规模较小,采用的技术不是那么好并且聘请的也很普通,价格相对于比较、规模较大的医院要便宜一些。
  三、患者选择美白技术:牙齿美白技术的不同直接导致美白效果差异,因此价格是不同的。
牙齿美白的价格贵不贵2
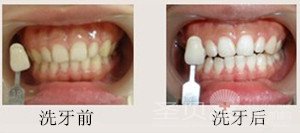
牙齿美白前后对比图
  综上所述,牙齿美白价格并不是固定的,它受到多方面因素的影响。在此,圣贝牙科医院表示:牙齿美白千万不能只考虑价格,如果选择一些不的小诊所进行美白,因器械感染,技术陈旧等情况造成不良后果就得不偿失了。牙齿美白务必要慎重选择一家的牙科医院进行,能够很好的保障治疗效果和服务质量。
  【圣贝牙科医院  多种美白方法供你挑选】
  成都圣贝牙科医院是一家牙科连锁医疗机构,目前在中国以及成都,为广大患者提供全国联保的服务。因此,患者选择到圣贝进行牙齿美白是没有后顾之忧的,并且在牙齿美白技术方面,圣贝牙科医院采用圣贝炫彩美白系统,圣贝 美齿系统以及360度全方位超声波洁牙等先进技术,下面来为大家详细介绍一下这三种牙齿美白技术。
牙齿美白的价格贵不贵3
炫彩美白效果图
  圣贝炫彩美白
  推荐指数:★★★★★
  圣贝炫彩美白技术是在不磨牙不戴冠的情况下,使用电激原理,运用炫彩方式均匀的输出高密度蓝光,这种蓝光温和无刺激,对人体没有任何伤害,能够直达牙釉质内部对里面的色素进行氧化美白,并且适合于想要快速美白的朋友,一次照射45分钟,无需复诊无需担心反弹,只要保养得当,其效果可达数十年之久。>>>我的牙齿适合哪种美白方式?
  圣贝 美齿系统
  推荐指数:★★★★★
  圣贝 美齿系统采用水晶瓷。据悉,水晶瓷的质地、硬度、结构与天然牙齿接近,被称为“天然釉质瓷”,不但自然美观,坚固耐磨,有有效的生物相容性,而且对牙龈无刺激、低风险。圣贝 水晶瓷的边缘密合性较高,有效像真牙一样长在口腔内,并且不易着色,可以从此远离茶渍、烟渍的困扰,是要求牙齿洁白的顾客。
牙齿美白的价格贵不贵4
  360°超声波洁牙
  推荐指数:★★★
  360°超声波洁牙通过超声波的高频率震动去掉牙面上的牙石、牙菌斑、烟斑、茶垢等牙垢,从而起到减轻牙龈炎牙周炎症状况、保护牙周健康和美白牙齿的作用。
  温馨提醒:文章篇幅有限,可能不足以满足您的需求。您可以点击进入挂号中心,圣贝会根据您的病情提供专业治疗方案,并为您的隐私保密。>>>即刻通过网络预约,凭借预约号,到院可免挂号费、

热线:028-86060808
地址:成都市高新区桂溪西街60号

服务号
订阅号
扫一扫 第一时间了解圣贝最新活动信息
圣贝品牌

成都圣贝牙科医院为圣贝医疗投资集团打造的旗舰医院,位于成都新兴的政治经济中心——城南核心地带的科华南路北,占地6000平米……【详细】

Copyright ©成都圣贝牙科医院版权所有

地址:成都市高新区桂溪西街60号1栋1-5层3号

医广号:川(成高)医广【2021】第03-18-23号

备案号:蜀ICP备15000530号-1

川公网安备 51019002001896号