地址:成都市高新区桂溪西街60号1栋1-5层3号

    电话热线:028-88908999

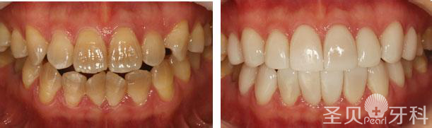
怎么快速让牙齿变白
时间:2017-05-10 15:24 来源:未知 点击:
  随着生活水平的提高,人们也越来越注意牙齿的颜色润泽,一副带有“颜色”的牙齿,让您的形象大打折扣,如何才能快速的让牙齿变白呢?【有疑问,直接在线挂号】
  表示,牙齿美白要分清内因外因,先弄清楚自己的牙齿不够白的原因,再找适合自己的美白方法。
  1、内源性着色牙:内在因素造成的内着色是牙齿内部颜色的改变,如四环素牙、氟斑牙,牙神经坏死引起的变色牙。
  2、外源性着色牙:外在因素造成的外着色是牙齿表面有色素沉积。比如咖啡牙、烟渍牙等。【如果您对自己的牙齿是什么情况不了解可以点击在线挂号】
  牙齿快速美白的方法有哪些?
  一、瓷贴面:瓷贴面具有良好的生物相容性,化学稳定性好,透明性好,耐磨性能好,表面光滑,不变色,色泽接近天然牙,美观效果理想,主要针对中/重度氟斑牙。
  二、冷光美白:冷光牙齿美白治疗30-45分钟可实现美白,快速不损伤牙龈。主要针对轻/中度氟斑牙。【根据我的情况,在线挂号定制专属美白方案】
  选对方法 更要选好医院 美白牙齿更多患者信赖圣贝
  在圣贝,会根据个人牙齿情况和脸型对比,个性化定制美白方案,有效帮助您去除轻中重度色素牙,满足患者高要求、多样的个性需求。下面我们来了解圣贝关于牙齿美白的三种方式:
  圣贝炫彩美白技术可以隔离一切有害的紫外线与红外线,有效避免操作过程中的不适与刺激、对周围组织的副作用;只需30分钟至45分钟的治疗,可使牙齿平均提高5-14个VITA色阶,并使治疗后的牙齿具有自然的光泽。
  圣贝微贴面则应用粘接材料,将薄层瓷修复体固定于患牙唇、颊面,以恢复影响美观的缺损、遮盖变色等缺陷,结合DSD微笑模拟系统设计,让患者在计算机上直观看到牙齿前后变化,精确定位需要修正的牙齿部位、大小、形态、颜色,与五官融合,完成修复。
  圣贝冠结合结合数码科技,分析牙齿形态及病症,据不同患者的相应牙色,通过29个牙色层次化类比,使成型后的牙齿达到色调统一,天然逼真。
  温馨提示:如果还有不明白的,欢迎拨打028—86060808或直接在线挂号,通过网络预约,免挂号费、免排队,优先会诊,为您节省宝贵时间!

热线:028-86060808
地址:成都市高新区桂溪西街60号

服务号
订阅号
扫一扫 第一时间了解圣贝最新活动信息
圣贝品牌

成都圣贝牙科医院为圣贝医疗投资集团打造的旗舰医院,位于成都新兴的政治经济中心——城南核心地带的科华南路北,占地6000平米……【详细】

Copyright ©成都圣贝牙科医院版权所有

地址:成都市高新区桂溪西街60号1栋1-5层3号

医广号:川(成高)医广【2021】第03-18-23号

备案号:蜀ICP备15000530号-1

川公网安备 51019002001896号